牙齿拥挤是怎么回事啊?

你好,牙齿是有牙床生长出来的,拥挤可能是遗传的因素,也可能是幼年时不正确的用牙习惯造成的,根据你现在的年龄,牙齿已经生长完毕,如果凸出较严重可以做矫正,单纯的拥挤可以不用治疗的
牙齿拥挤是怎么回事呢
您好,牙列拥挤有很多原因,主要为牙量大于骨量,而导致牙弓异常;小孩多为替牙期故障如乳牙早失,造成邻牙前移占位。
牙齿拥挤怎么办啊啊?
你好,牙齿整形适用于牙齿拥挤、地包天牙、牙间隙、虎牙、龅牙、牙齿不齐等,建议到正规医院咨询治疗,越早治疗效果越好。
牙齿拥挤的办法有?
你好1,做矫正就是为了美观,要把牙齿排整齐的,只要矫正设计合理的话肯定能排齐牙齿的。2,临面磨牙不能有台阶,有台阶就会有食物滞留在那个地方,容易坏牙,也不好看的,找个正规专科医生看看可能给你修好
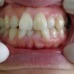
牙齿拥挤度分类有哪些
你好,根据牙弓的拥挤严重程度,一般可以将牙齿拥挤分为3类:轻度拥挤(Ⅰ度拥挤)、中度拥挤(Ⅱ度拥挤)、重度拥挤(Ⅲ度拥挤),拥挤的程度越严重,治疗的难度就越大。
原创文章,作者:聚禄鼎,如若转载,请注明出处:https://www.xxso.cn/4377.html