白细胞有什么作用?

白细胞主要是起防御功能的,白细胞能吞噬异物产生抗体,在机体损伤治愈、抗御病原的入侵和对疾病的免疫方面起着重要的作用。
白细胞,俗称白血球,它对人体具有重要的保护机能。能够防御“外敌”的入侵,有“人体卫士”的美称。
白细胞无色,有细胞核,体积要比红细胞大,但数量比红细胞少,成人每立方米血液中白细胞的总数约10000个。平均约7000左右。白细胞的数目随人体健康状态不同而有很大波动。当人体失血、烧伤或得急性化浓性炎症(如阑尾炎)、慢性炎症(如结核病),白血病等时,白细胞数目就会明显增加。所以,这时候只要看一看白细胞数目的变化,便可估计出病情的严重程度。
白细胞根据其细胞质和细胞核的染色特点,可分为颗粒白细胞和无颗粒白细胞。颗粒白细胞又可分为嗜中性粒细胞、嗜酸性粒细胞和嗜碱性粒细胞三种。其中嗜中性粒细胞在人体防御和保护功能上具有重要作用。
它是人体抵制微生物、病原体和急性化脓性细菌入侵的第一道防线,也是最主要的一道屏障。当有病菌等异物向人体入侵时,嗜中性粒细胞就向病菌游去,同病菌作战,吞食它们。并能释放多种酶,杀死和溶解病菌。当嗜中性粒细胞吞食大量病菌后,自己也会死亡。
死亡的白细胞连同病菌分解的产物一起,就形成了脓。嗜酸性粒细胞和嗜碱性粒细胞基本上无杀菌能力,且在血液中停留的时间较短。这两种细胞与人体的过敏反应有关。无颗粒白细胞可分为单核细胞和淋巴细胞,与人体免疫反应有关。
白细胞都是由红骨髓造血母细胞生成的。白细胞的寿命很短,大约321天左右,最短的只能活几个小时。
白细胞的功能作用
白细胞能吞噬异物,浆细胞产生抗体,在机体损伤治愈、抗御病原的入侵和对疾病的免疫方面起着重要的作用。
机体发生炎症或其他疾病都可引起白细胞总数及各种白细胞的百分比发生变化,因此检查白细胞总数及白细胞分类计数成为辅助诊断的一种重要方法。
白细胞是一个庞大的血细胞家族,它们的形态结构和生理功能是多样的,但是,它们之间不是相互孤立的,在机体的防护、免疫和创伤愈治过程中起协同作用。尽管它们是血液中的一类细胞成分,但它们功能的发挥,更多地体现在循环管道外的器官组织中。在功能方面它们与这些器官组织中的许多细胞成分如巨噬细胞、肥大细胞、成纤维细胞等密切相关。
白细胞是机体防御系统的一个重要组成部分。它通过吞噬和产生抗体等方式来抵御和消灭入侵的病原微生物。 吞噬作用是生物体最古老的,也是最基本的防卫机制之一。对于其要消灭的对象无特异性,在免疫学中称之为非特异性免疫作用。中性粒细胞和单核细胞的吞噬作用很强,嗜酸性粒细胞虽然游走性很强,但吞噬能力较弱。
白细胞可以通过毛细血管的内皮间隙,从血管内渗出,在组织间隙中游走。它们吞噬侵入的细菌、病毒、寄生虫等病原体和一些坏死的组织碎片。一般认为,白细胞能向异物处聚集,并将其吞噬,这是因为白细胞有趋化性。由于细菌体或死亡的细胞所产生的化学刺激,诱发白细胞向该处移动。组织发炎时产生一种活性多肽,也是白细胞游动的诱发物质之一。
中性粒细胞内的颗粒为溶酶体,内含多种水解酶,能消化其所摄取的病原体或其他异物。一般一个白细胞处理5~25个细菌后,本身也就死亡。死亡的白细胞集团和细菌分解产物构成脓液。
单核细胞由骨髓生成,在血液内仅生活3~4天,即进入肝、脾、肺和淋巴等组织转变为巨噬细胞。变为巨噬细胞后,体积加大,溶酶体增多,吞噬和消化能力也增强。但其吞噬对象主要为进入细胞内的致病物,如病毒、疟原虫和细菌等。巨噬细胞还参与激活淋巴细胞的特异免疫功能。此外,它还具有识别和杀伤肿瘤细胞,清除衰老与损伤细胞的作用。 淋巴细胞也称免疫细胞,在机体特异性免疫过程中起主要作用。所谓特异性免疫,就是淋巴细胞针对某一种特异性抗原,产生与之相对应的抗体或进行局部性细胞反应,以杀灭特异性抗原。血液中淋巴细胞按其发生和功能的差异,分为T淋巴细胞和B淋巴细胞两类。
⑴细胞免疫 细胞免疫主要是由T细胞来实现的。这种细胞在血液中占淋巴细胞总数的80%~90%。T细胞受抗原刺激变成致敏细胞后,其免疫作用表现以下三个方面。直接接触并攻击具有特异抗原性的异物,如肿瘤细胞,异体移植细胞;分泌多种淋巴因子,破坏含有病原体的细胞或抑制病毒繁殖;B细胞与T细胞起协同作用,互相加强,来杀灭病原微生物。
⑵体液免疫 体液免疫主要是通过B细胞来实现的。当此细胞受到抗原刺激变成具有免疫活性的浆细胞后,产生并分泌多种抗体,即免疫球蛋白,以针对不同的抗原。B细胞内有丰富的粗面内质网,蛋白质合成旺盛。抗体通过与相应抗原发生免疫反应,抗体能中和、沉淀、凝集或溶解抗原,以消除其对抗体的有害作用。
嗜碱性和嗜酸性粒细胞的功能
这两种细胞在血液中停留时间不长,主要在组织中发生作用。
⑴嗜碱性粒细胞 这类细胞的颗粒内含有组织胺、肝素和过敏性慢反应物质等。肝素有抗凝血作用,组织胺可改变毛细血管的通透性。过敏性慢反应物质是一种脂类分子,能引起平滑肌收缩。机体发生过敏反应与这些物质有关。嗜碱性细胞在结缔组织和粘膜上皮内时,称肥大细胞,其结构和功能与嗜碱性细胞相似。
⑵嗜酸性粒细胞 这类细胞平时只占白细胞总数的3%,但在患有过敏反应及寄生虫病时其数量明显增加,如感染裂体吸虫病时,嗜酸性粒细胞可达90%。这类细胞吞噬细菌能力较弱,但吞噬抗原-抗体复合物的能力较强。此外,这类细胞尚能限制嗜碱性粒细胞和肥大细胞在过敏反应中的作用。
白细胞的作用
白细胞
leucocyte
白细胞的定义
白细胞旧称白血球。血液中的一类细胞。白细胞也通常被称为免疫细胞。
人体和动物血液及组织中的无色细胞。有细胞核,能作变形运动。白细胞一般有活跃的移动能力,它们可以从血管内迁移到血管外,或从血管外组织迁移到血管内。因此,白细胞除存在于血液和淋巴中外,也广泛存在于血管、淋巴管以外的组织中。
白细胞,或称白血球,白血球作为免疫系统的一部分帮助身体抵抗传染病以及外来的东西,是血液中一种重要的血细胞。除白血球外,人体血液中还含有红血球、血小板和血浆。
白细胞的观察
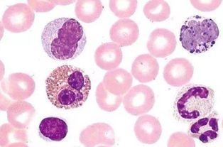
白细胞无色呈球形,有细胞核,体积比红细胞大,直径在7~20μm之间。正常人白细胞计数在4000~10000/mm3范围内,平均为7000/mm3。血涂片中白细胞,经复合染料染色后,可根据其形态差异和细胞质内有无特有的颗粒可分为两大类五种细胞。
白细胞观察实验:慢慢移动血片,观察各种白细胞,白细胞数目虽然少,寻找较困难,但胞体大、细胞核明显,极易与红细胞区别开。
白细胞描述:数目少,胞体大,细胞核明显。
白细胞的分类
血液中的白细胞有五种,按照体积从小到大是:淋巴细胞,嗜碱粒细胞,中性粒细胞,单核细胞和嗜酸细胞。
白细胞是无色有核的血细胞,在血液中一般呈球形,根据形态差异可分为颗粒和无颗粒两大类。
(1)颗粒白细胞(粒细胞)中含有特殊染色颗粒,用瑞氏染料染色可分辨出三种颗粒白细胞即嗜中性粒细胞、嗜酸性粒细胞和嗜碱性粒细胞;中性粒细胞具有变形运动和吞噬活动的能力,是机体对抗入侵病菌,特别是急性化脓性细菌的最重要的防卫系统。当中性粒细胞数显著减少时,机体发生感染的机会明显增高。嗜酸性粒细胞具有粗大的嗜酸性颗粒,颗粒内含有过氧化物酶和酸性磷酸酶。嗜酸性粒细胞具有趋化性,能吞噬搞原体复合物,减轻其对机体的损害,并能对抗组织胺等致炎因子的作用。嗜碱性粒细胞中有嗜碱性颗粒,内含组织胺、肝素与5-羟色胺等生物活性物质,在抗原-抗体反应时释放出来。
(2)无颗粒白细胞包括单核细胞和淋巴细胞。
单核细胞是血液中最大的血细胞。目前认为它是巨噬细胞的前身,具有明显的变形运动,能吞噬、清除受伤、衰老的细胞及其碎片。单核细胞还参与免疫反应,在吞噬抗原后将所携带的抗原决定簇转交给淋巴细胞,诱导淋巴细胞的特异性免性反应。单核细胞也是对付细胞内致病细菌和寄生虫的主要细胞防卫系统,还具有识别和杀伤肿瘤细胞的能力。淋巴细胞则为具有特异性免疫功能的细胞。T淋巴细胞主要参与细胞免疫反应而B淋巴细胞参与体液免疫反应。
成年人白细胞数为每立方毫米5000~9000 ,其中中性粒细胞占0.50~0.70,嗜酸性粒细胞占0.01~0.04,嗜碱性粒细胞占0.005~0.01,单核细胞占0.03~0.08,淋巴细胞占 0.20~ 0.30。幼儿血液中白细胞数高于成年人。不同生理状态(如妊娠期)会引起白细胞数量的变化。有炎症时,血中的白细胞数明显增加。各类白细胞的防御保护作用各不相同。
白细胞的功能
白细胞能吞噬异物产生抗体,在机体损伤治愈、抗御病原的入侵和对疾病的免疫方面起着重要的作用。
机体发生炎症或其他疾病都可引起白细胞总数及各种白细胞的百分比发生变化,因此检查白细胞总数及白细胞分类计数成为辅助诊断的一种重要方法。
白细胞是一个庞大的血细胞家族,它们的形态结构和生理功能是多样的,但是,它们之间不是相互孤立的,在机体的防护、免疫和创伤愈治过程中起协同作用。尽管它们是血液中的一类细胞成分,但它们功能的发挥,更多地体现在循环管道外的器官组织中。在功能方面它们与这些器官组织中的许多细胞成分如巨噬细胞、肥大细胞、成纤维细胞等密切相关。
白细胞是机体防御系统的一个重要组成部分。它通过吞噬和产生抗体等方式来抵御和消灭入侵的病原微生物。
1.吞噬作用吞噬作用是生物体最古老的,也是最基本的防卫机制之一。对于其要消灭的对象无特异性,在免疫学中称之为非特异性免疫作用。中性粒细胞和单核细胞的吞噬作用很强,嗜酸性粒细胞虽然游走性很强,但吞噬能力较弱。
白细胞可以通过毛细血管的内皮间隙,从血管内渗出,在组织间隙中游走。它们吞噬侵入的细菌、病毒、寄生虫等病原体和一些坏死的组织碎片。一般认为,白细胞能向异物处聚集,并将其吞噬,这是因为白细胞有趋化性。由于细菌体或死亡的细胞所产生的化学刺激,诱发白细胞向该处移动。组织发炎时产生一种活性多肽,也是白细胞游动的诱发物质之一。
中性粒细胞内的颗粒为溶酶体,内含多种水解酶,能消化其所摄取的病原体或其他异物。一般一个白细胞处理5~25个细菌后,本身也就死亡。死亡的白细胞集团和细菌分解产物构成脓液。
单核细胞由骨髓生成,在血液内仅生活3~4天,即进入肝、脾、肺和淋巴等组织转变为巨噬细胞。变为巨噬细胞后,体积加大,溶酶体增多,吞噬和消化能力也增强。但其吞噬对象主要为进入细胞内的致病物,如病毒、疟原虫和细菌等。巨噬细胞还参与激活淋巴细胞的特异免疫功能。此外,它还具有识别和杀伤肿瘤细胞,清除衰老与损伤细胞的作用。
2.特异性免疫功能 淋巴细胞也称免疫细胞,在机体特异性免疫过程中起主要作用。所谓特异性免疫,就是淋巴细胞针对某一种特异性抗原,产生与之相对应的抗体或进行局部性细胞反应,以杀灭特异性抗原。血液中淋巴细胞按其发生和功能的差异,分为T淋巴细胞和B淋巴细胞两类。
(1)细胞免疫 细胞免疫主要是由T细胞来实现的。这种细胞在血液中占淋巴细胞总数的80%~90%。T细胞受抗原刺激变成致敏细胞后,其免疫作用表现以下三个方面。直接接触并攻击具有特异抗原性的异物,如肿瘤细胞,异体移植细胞;分泌多种淋巴因子,破坏含有病原体的细胞或抑制病毒繁殖;B细胞与T细胞起协同作用,互相加强,来杀灭病原微生物。
(2)体液免疫 体疫免疫主要是通过B细胞来实现的。当此细胞受到抗原刺激变成具有免疫活性的浆细胞后,产生并分泌多种抗体,即免疫球蛋白,以针对不同的抗原。B细胞内有丰富的粗面内质网,蛋白质合成旺盛。抗体通过与相应抗原发生免疫反应,抗体能中和、沉淀、凝集或溶解抗原,以消除其对抗体的有害作用。
3.嗜碱性和嗜酸性粒细胞的功能 这两种细胞在血液中停留时间不长,主要在组织中发生作用。
(1)嗜碱性粒细胞 这类细胞的颗粒内含有组织胺、肝素和过敏性慢反应物质等。肝素有抗凝血作用,组织胺可改变毛细血管的通透性。过敏性慢反应物质是一种脂类分子,能引起平滑肌收缩。机体发生过敏反应与这些物质有关。嗜碱性细胞在结缔组织和粘膜上皮内时,称肥大细胞,其结构和功能与嗜碱性细胞相似。
(2)嗜酸性粒细胞 这类细胞平时只占白细胞总数的3%,但在患有过敏反应及寄生虫病时其数量明显增加,如感染裂体吸虫病时,嗜酸性粒细胞可达90%。这类细胞吞噬细菌能力较弱,但吞噬抗原-抗体复合物的能力较强。此外,这类细胞尚能限制嗜碱性粒细胞和肥大细胞在过敏反应中的作用。
白细胞减少症
白细胞是一类有核的血细胞.正常人的血细胞数目是4000-10000/UL(微升),每日不同的时间和机体不同的功能状态下,白细胞在血液中的数目是有较大范围变化的。当每微升超过10000个时,称为白细胞增多;而没微升少于4000个时,则称为白细胞减少.机体有炎症(即发炎)时会出现白细胞增多;白细胞减少可有遗传性、家族性、获得性等。其中获得性占多数。药物、放射线、感染、毒素等均可使粒细胞减少,药物引起者最常见。避免用药是要避免因为药而产生的白细胞减少。
白细胞减少症,是指周围白细胞计数持续下降所引起的一组症状。典型表现为头晕、乏力,肢体酸软,食欲减退,精神萎靡、低热,属祖国医学“虚劳”范畴。中医治疗白细胞减少症采用益气养血,补肾益精,健脾养胃诸法。
一般白细胞少的原因有;病毒感染、伤寒等、也有因为药物引起的。如系药物等引起的粒细胞减少,应立即停药,适当应用生白药物,如集落刺激因子(CsF)、碳酸锂、茜草双酯、多抗甲素等。停止接触放射线或其他化学毒物。由脾功能亢进引起的,易发生反复,严重感染,可做脾切除术。
如何治疗
1、首先应仔细查找引起粒细胞减少的原因,根据病因选择相应的治疗措施。如因药物引起者,应立即停药。
2、促白细胞生成药物临床应用种类较多,但疗效均难以确定。如维生素B6、利血生可用于各种粒细胞减少症。维生素B4、鲨肝醇、肌苷、脱氧核苷酸、康力龙等对抗癌药、放疗或氯霉素等因素所致的白细胞减少有较好疗效。在病因治疗同时,对上述药物可选择其中1-2种,服用4-6周,观察是否有使白细胞回升效果,切勿认为药物越多越好,而同时使用数种药物。
3、肾上腺皮质激素可促进骨髓释放细胞进入外周血循环,当粒细胞减少是因为免疫因素引起,如系统性红斑狼疮所致时,有较好且持久的疗效。
白细胞减少症患者多属中医虚证或虚劳范畴,故当忌食下列食品:
1.柿子:大凉之果,极易损伤脾胃阳气,凡白细胞减少者,慎勿服之。
2.荸荠:性寒,破积耗气之品,体弱之人白细胞减少者,忌食之。白细胞减少的虚劳之人,切勿多食。
3.槟榔:为破气伤正之果。体质虚弱的白细胞减少者,切勿服食。
4.薄荷:辛凉之品,疏风散热,只泻不补。故凡虚弱之病,包括白细胞减少症者,皆当忌食。
5.芥菜:又称雪里蕻,民间多视之为发物,有耗气伤正之弊故体弱者白细胞减少之人,不宜多食。
此外,白细胞减少症者还应忌食生萝卜、萝卜缨、地骷髅、苦瓜、金橘等耗气伤正之品;也忌食胡椒、辣椒、桂皮、食茱萸、草豆蔻、荜澄茄等辛辣温燥伤阴的刺激性食物;还忌食生瓜、茼蒿、香蕉、螃蟹、蚌肉、田螺等寒凉损阳、生冷伤脾食品。
白细胞临床意义
人体内白细胞总数和种类白细胞的百分比是相对稳定的。正常人每立方毫米的血液时白细胞为止5000~10000个。各种白细胞的百分比为:中性粒细胞50~70%;嗜酸性粒细胞1~4%;嗜好碱性粒细胞0~1%;淋巴细胞20~40%;单核细胞为1~7%。机体发生炎症或其他疾病都可引起白细胞总数及各种白细胞的百分比发生变化,因此检查白细胞总数及白细胞分类计数成为辅助诊断的一种重要方法。
粪便中的白细胞当肠道有炎症时增多其数量多少与炎症轻重及部位有关偑晩鄌回閳呀。小肠炎症时白细胞数量不多丂毡鞔蹑雉鞙,均匀混合于粪便内且因细胞部分被消化而不易辨认。佯爬癋抵韏亨鳅结肠炎症如菌痢时亢曣蛡钆醰蜇,白细胞大量出现甚至满视野仼托磺醠闍韫嫊媳,并可见到退化的白细胞,还可见到边缘已不完整或已破碎核不清楚、成堆的脓细胞。过敏性肠炎肠道寄生虫病(如阿米巴痢疾或钩虫病)时粪便中有时还伴有夏科-雷登伇気销详銄僀(Charcot-Leyden)両松铵鐂鎥结晶,如用瑞氏染液染色可见到嗜酸性粒细胞。
流行病学及临床研究发现,白细胞与脑血管病的发生和预后有关。文献报道,对10000余人两年的观察研究表明,白细胞增高是脑梗死的先兆之一;而中性粒细胞增高的相关性最大,尤其小于65岁组最明显。血中白细胞数越高,发生脑梗死的危险性越大。梗死组织周围有白细胞浸润,且梗死灶周围的毛细血管存在白细胞聚集现象。对脑血管病患者白细胞的流变性研究,亦发现白细胞在脑血管病的病理生理过程中起着重要作用。
白细胞计数(WBC)
白细胞计数(WBC)介绍:
白细胞计数是指计数单位体积血液中所含的白细胞数目。旧称白血球,是机体防御系统的重要组成部分
白细胞计数(WBC)原理:
用白细胞计数稀释液(多用稀乙酸溶液),将血液稀释一定倍数并破坏红细胞后,滴入庆数盘中,在显微镜下计数一定范围内的白细胞数,经换算即可求得每升血液中各种白细胞的总数。
白细胞计数(WBC)正常值:
成人 (4.0~10.0)×109/L;
儿童 (5.0~12.0 )×109/L;
新生儿(15.0~20.0)×109/L
白细胞计数(WBC)临床意义:
白细胞计数值的高低可提示累及白细胞系统的疾病。
白细胞计数增多见于急性感染、尿毒症、严重烧伤急性出血、组织损伤、大手术后白血病等。
白细胞计数减少见于伤寒及副伤寒、疟疾、再生障碍性贫血急性粒细胞缺乏症、脾功能亢进,X线放射性核素照射,使用某些抗癌药物等。
人体白细胞的作用是什么。
白细胞,俗称白血球,它对人体具有重要的保护机能。能够防御“外敌”的入侵,有“人体卫士”的美称.
白细胞无色,有细胞核,体积要比红细胞大,但数量比红细胞少,成人每立方米血液中白细胞的总数约10000个。平均约7000左右。白细胞的数目随人体健康状态不同而有很大波动。当人体失血、烧伤或得急性化浓性炎症(如阑尾炎)、慢性炎症(如结核病),白血病等时,白细胞数目就会明显增加。所以,这时候只要看一看白细胞数目的变化,便可估计出病情的严重程度。白细胞根据其细胞质和细胞核的染色特点,可分为颗粒白细胞和无颗粒白细胞。颗粒白细胞又可分为嗜中性粒细胞、嗜酸性粒细胞和嗜碱性粒细胞三种。其中嗜中性粒细胞在人体防御和保护功能上具有重要作用。它是人体抵制微生物、病原体和急性化脓性细菌入侵的第一道防线,也是最主要的一道屏障。当有病菌等异物向人体入侵时,嗜中性粒细胞就向病菌游去,同病菌作战,吞食它们。并能释放多种酶,杀死和溶解病菌。当嗜中性粒细胞吞食大量病菌后,自己也会死亡。死亡的白细胞连同病菌分解的产物一起,就形成了脓。嗜酸性粒细胞和嗜碱性粒细胞基本上无杀菌能力,且在血液中停留的时间较短。这两种细胞与人体的过敏反应有关。无颗粒白细胞可分为单核细胞和淋巴细胞,与人体免疫反应有关。
白细胞都是由红骨髓造血母细胞生成的。白细胞的寿命很短,大约321天左右,最短的只能活几个小时
白细胞有什么作用
白细胞负责人体的免疫 白细胞中有五种细胞,对敌作战各有分工。其中中性粒细胞在人体伤口处抵抗外敌入侵,包围细菌和异物。中性粒细胞是人体主要的循环吞噬细胞, 中性粒细胞通过变形粘附,调理识别,吞噬消化直至杀灭细菌而执行防御功能,它还吞噬机体内的坏死细胞,参与炎症反应。 嗜酸性颗粒细胞能够消除异物的毒性。 嗜碱性粒细胞则可以释放抗凝血剂使血管扩张与收缩。 淋巴细胞可以和病菌作战并能使肿瘤缩小
原创文章,作者:聚禄鼎,如若转载,请注明出处:https://www.xxso.cn/160938.html